📍THE PANAMÁ CLINIC, torre B piso 26 consultorio 2618

Implantes Dentales: Recupera tu Sonrisa y Confianza

✅ La solución definitiva para dientes perdidos

¿Has perdido una o varias piezas dentales y deseas una solución permanente, funcional y estética? Los implantes dentales son la opción más recomendada por los especialistas para reemplazar dientes perdidos.

¿Qué es un implante dental?

Es una raíz artificial de titanio que se coloca en el hueso maxilar o mandibular para reemplazar la raíz de un diente natural. Una vez integrado al hueso, se coloca una corona que luce, se siente y funciona como un diente real.

Beneficios de los implantes

Funcionalidad total

Recupera el 100% de tu capacidad masticatoria, permitiéndote comer con comodidad y seguridad cualquier tipo de alimento, sin limitaciones ni molestias.

Confianza estética

Los implantes lucen y se sienten como dientes naturales, devolviéndote la seguridad al sonreír, hablar o reír sin preocuparte por huecos visibles.

Prevención ósea

Evitan la pérdida de hueso que ocurre cuando no hay raíz dental, y también impiden que los dientes vecinos se desplacen, manteniendo la armonía de tu boca.

Durabilidad comprobada

Con los cuidados adecuados, los implantes pueden durar más de 20 años, siendo una solución a largo plazo mucho más estable que otros tratamientos removibles.

Preservación dental

A diferencia de los puentes, los implantes no requieren desgastar dientes sanos, lo que conserva al máximo la estructura natural de tu dentadura.

¿Eres candidato para implantes?

Nuestros especialistas evaluarán tu caso con estudios de imagen 3D y un examen clínico completo. Si tienes una buena salud general y salud bucal, ¡probablemente sí lo eres!

También ofrecemos soluciones para pacientes con poco hueso, como injertos óseos y técnicas avanzadas de implantología.

¡Tu nueva sonrisa comienza aquí!

En CDLD trabajamos con materiales de alta calidad, tecnología avanzada y especialistas certificados para garantizar resultados seguros, estéticos y duraderos.

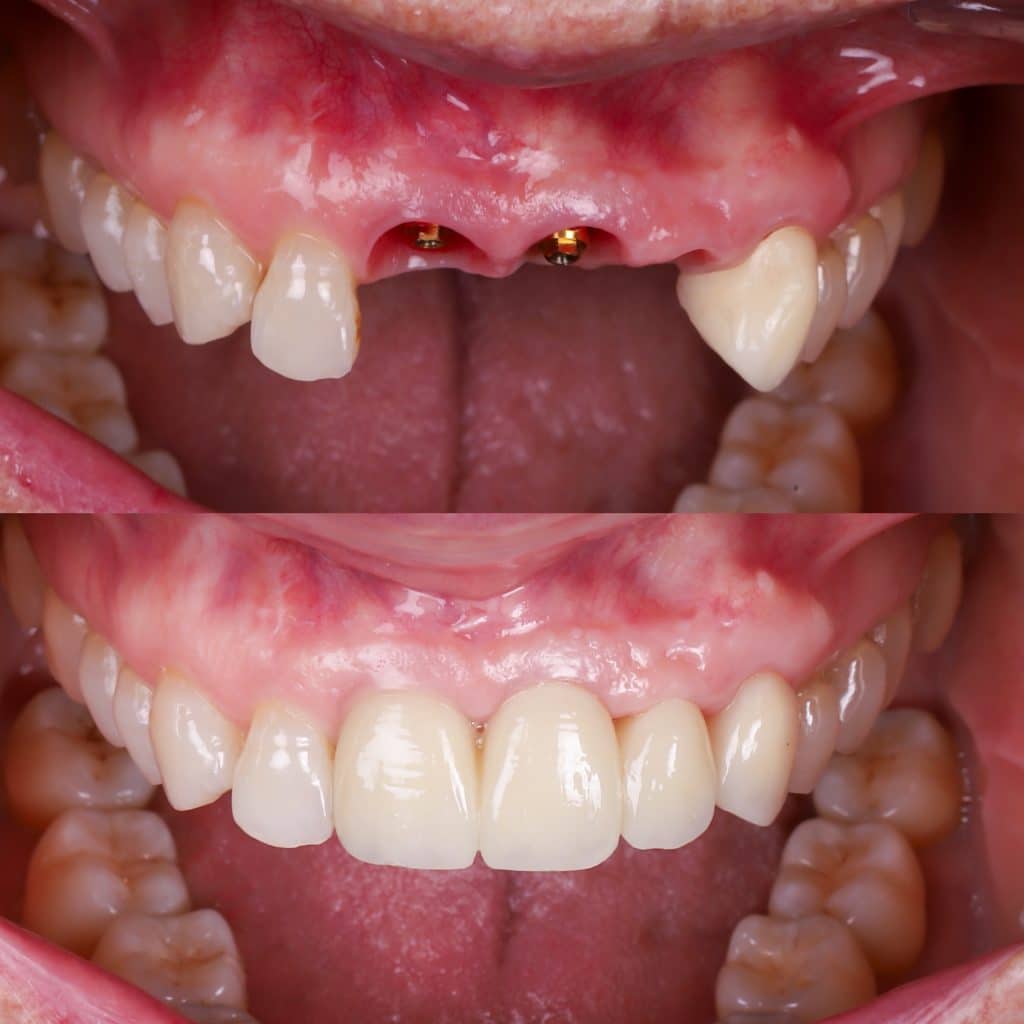
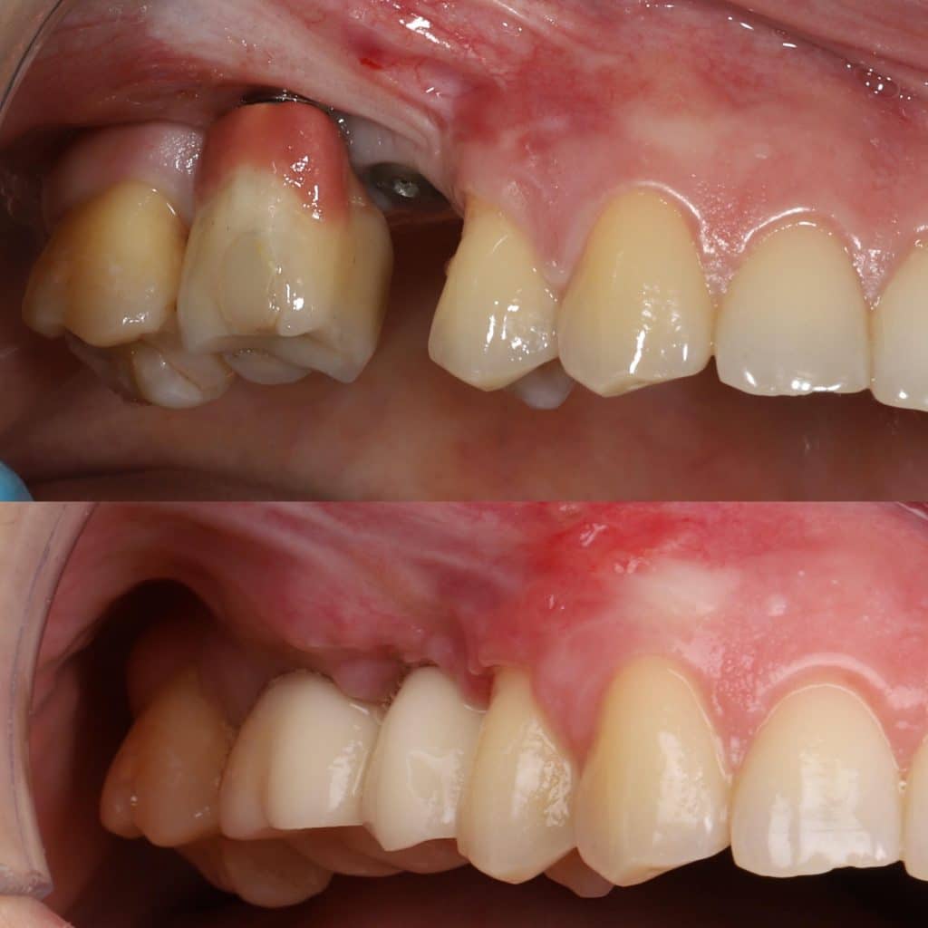
Caso real de implante dental CDLD

Caso real de implante dental CDLD

Casos de éxito reales

Y el siguiente en volver a sonreír gracias a nuestros espcialistas en implantes dentales en Panamá, puedes ser tú.